En Côte d’Ivoire la variole de Singe continue de progresser. 272 cas contacts sont suivis dans 15 districts sanitaires ou la maladie a été confirmée, a indiqué le ministre de la santé Pierre Dimba, face à la presse samedi.
Les cas contacts sont suivis pendant 21 jours afin d’observer leur évolution.
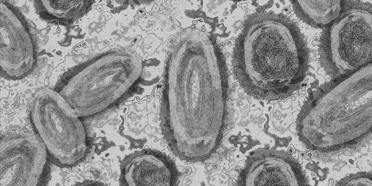
Selon le ministre à la date du 24 août 2024, 32 cas de variole de singe, dont un cas mortel, ont été confirmés.
Le District sanitaire de Dianra est le district le plus touché dans le pays avec 9 cas confirmés et 8 cas suspects.
Les 32 cas sont répartis comme suit:
Tabou 1 cas, Yopougon 6, Koumassi 1, Cocody-Bingerville 3, Abobo 1, Yamoussoukro 1, Daoukro 1, Sakassou 4, Soubré 1, Danané 1, Bouna.
Le ministère ivoirien de la Santé note l’absence de formes graves en hospitalisation.
Le plan de riposte élaboré comprend le renforcement de la surveillance épidémiologique et le suivi des cas, l’amélioration des capacités de diagnostic, la prise en charge, et la vaccination.
Concernant la surveillance, elle est faite dans les districts sanitaires et aux frontières par le contrôle de la température et l’observation des mains et des visages à la recherche d’éruptions cutanées. Le suivi des cas contacts est fait par l’INHP et ses antennes sur toute l’étendue du territoire avec l’appui des districts sanitaires.
Fulbert Yao






































































